Equine Odontoclastic Tooth Resorption and Hypercementosis (EOTRH) is a dental disease that can occur as horses age. It typically affects the incisors and sometimes canine teeth. There have been reported instances of it affecting the cheek teeth as well.

Left: A healthy horse’s incisors. Right: Advanced EOTRH in a 24-year-old horse with hypercementosis causing a bulbous appearance around the roots of affected teeth.
The early stages of the disease can be difficult to recognize on oral examination alone. Radiographs are necessary in all cases to diagnose the condition. The most commonly reported sign of incisor pain is difficulty in grasping apples and carrots. The horse may also exhibit difficulty in the bridle, change in attitude, weight loss, and changes in grazing habits. Horses that exhibit these symptoms usually have advanced stages of the disease.
The cause of EOTRH is currently unknown, and while the condition isn’t new, it has only recently been identified and named. Diagnosis is made through radiographs of the incisor and canine teeth.
At this time, treatment and management of less advanced cases involves proper floating techniques and reducing biomechanical stress on the incisor teeth. Periodic radiographic evaluation will allow diagnosis of advancing resorption.
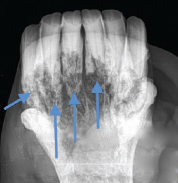
![]() Blue arrows show extensive resorption affecting the roots of these lower incisors in a horse with advanced EOTRH |
The only treatment for affected teeth at an advanced stage is extraction. Horses can manage quite well without their incisor teeth and should be able to eat a normal diet, including hay and even grazing. There are several ongoing studies looking into the causes and potential treatment options for this syndrome.
Molly Rice, DVM, and Travis Henry, DVM, DAVDC, who are currently studying the disease, say that many horses aren’t diagnosed until the end stages of the disease process, which is incredibly painful.
“If horses can be diagnosed and treated at an earlier stage, their quality of life can be improved greatly. In our practice we recommend radiographs of the incisors after the age of 15 to screen for resorptive lesions. This is a quick 10-minute process that can be performed during the horse’s routine dental examination.
“Over the past six years, we have treated over 200 cases similar to Peanut’s. The extraction process is performed under standing sedation with local nerve blocks. The extraction procedure takes less than an hour to complete on average. Most patients have no feed restrictions and are often grazing again within one to two days. Total healing typically occurs within four to six weeks with minimal aftercare.”
Special thanks to Molly Rice, DVM, and Travis Henry, DVM, DAVDC, of Midwest Equine Services for assistance with photos and general information about EOTRH for this article.
www.midwestequineservices.com
This article originally appeared in the December 2015 issue of Horse Illustrated magazine. Click here to subscribe!




